

Mouth Breathing

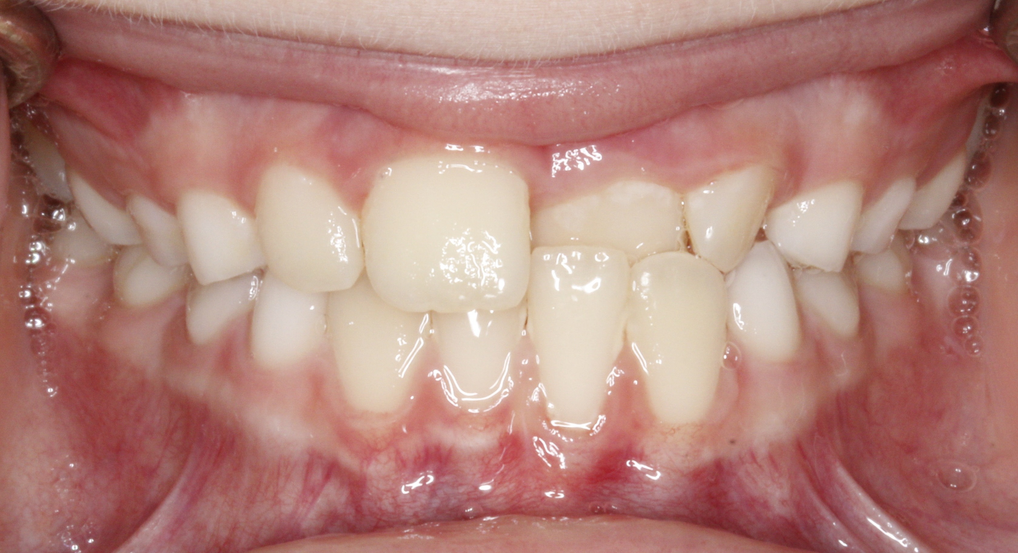
Crowding / Small Mouth/ Underdeveloped Jaw

Referred to get Permanent Teeth Removed

Poor sleep/ Behavioral Issues / Fatigue
If you checked any of these, our program can help
the root causes of airway dysfunction to deliver lasting results that improve your

Custom-tailored approach designed specifically for your unique airway needs

Evidence-based treatments with a track record of transforming patients' lives

Focus on gentle, effective treatments without the need for surgery

Work with our experienced team of airway specialists and dental professionals

Ongoing guidance and support throughout your entire treatment journey

Experience improved sleep, better breathing, and enhanced quality of life

Dr. Nathan Tanner
Airway Center Founder

Dr. Al Borremeo
Dentist

Melika Kashkouli
Lead Dentist



Step 1
Complete the intake form below
Step 2
Schedule your complimentary consultation to determine if you are a good candidate
Step 3
Make your payment and begin your journey!

Our clinicians are trained in advanced airway-centered dentistry.
Free parking available on-site
© 2026 Airway Center. All rights reserved.